首页>> 特色介绍 >> 眼眶病眼整形常见眼病
眼眶病眼整形常见眼病
一、眼与眼眶肿瘤
眼眶肿瘤约占全部眼眶病的40%,共有一百多种,但常见者不过十余种。现将临床常见肿瘤介绍如下:
1.毛细血管瘤
毛细血管瘤是婴幼儿最多见的良性肿瘤,可于出生时或出生后发生,1岁以内生长迅速,1岁后不再生长,部分可自行消退。毛细血管瘤好发于上睑外侧,表现为青紫色的软性包块,瘤体大时导致上睑下垂,影响患儿视觉发育。由于该肿瘤有明显的年龄倾向,并产生特征性眼睑改变,往往仅凭视诊即可诊断。毛细血管瘤也可单发于眶内,导致眼球突出,此时诊断依赖B超、CT或MRI。较小的毛细血管瘤不必积极治疗,虽婴儿发育可自行消退。肿瘤较大尤其上睑下垂遮盖瞳孔者应给予治疗,首选皮质类固醇瘤体内注射,可显著缩小肿瘤。药物疗效不佳者手术切除肿瘤。预后很好。
2.海绵状血管瘤
海绵状血管瘤是成年人眼眶最常见的良性肿瘤,其临床表现在眼眶良性肿瘤中具有代表性。该瘤好发于中年女性,肌锥内最多见。海绵状血管瘤生长缓慢,早期无任何临床症状,随肿瘤增大出现慢性进行性无痛性眼球突出。眶尖部海绵状血管瘤可压迫视神经,导致视力下降。B超表现为类圆形占位,边界清楚,内回声多而均匀,有可压缩性,籍此可初步诊断。CT或MRI可清晰显示肿瘤位置、大小。海绵状血管瘤主要采取手术治疗,一般结膜切口即可取出,外表不留瘢痕。但眶尖肿瘤,与眶壁粘连广泛者须外侧开眶。预后好,一般不复发。

3.静脉性血管瘤
静脉性血管瘤也是眶内常见的良性肿瘤,发病年龄跨度较大,但主要见于青少年患者。静脉性血管瘤以内上象限相对好发,导致眼球前突并向外下移位。眶前部者可触及边界不规则的软性肿块。该瘤与体循环沟通,因而有一定体位性。静脉性血管瘤可由于瘤壁破裂出血或导血管栓塞,导致急性疼痛和高眶压症状,临床须紧急处理。诊断须做影像检查,包括B超、CT或MRI,发现钙化具有提示诊断价值。治疗以手术为主,预后较好。

4.皮样囊肿
皮样囊肿是由于胚胎后期表皮外胚叶组织嵌夹于眶骨缝内,之后逐渐生长而形成的囊性肿块。年轻患者多见,多位于眶外上象限额颞缝之间,向内长入眶内,向外长入颞窝,部分沟通眶内外形成独特的葫芦性肿块。CT检查可确诊,肿瘤由薄层囊壁包绕,囊内为负值暗区。该瘤选择手术治疗,术后应用石炭酸烧灼眶壁,以防囊壁残留、肿瘤复发。

5.神经鞘瘤
神经鞘瘤来源于眶内神经末梢,较为好发。临床表现为慢性进行性眼球突出,感觉神经来源者可有自发疼痛。神经鞘瘤主要应与海绵状血管瘤鉴别,B超表现也为类圆形占位,但内回声较少,无可压缩性。CT和MRI可显示肿瘤位置。治疗选择手术切除,眶前部者采用前路开眶,肌锥内者采用外侧开眶。肿瘤预后好,一般不复发。

6.泪腺肿瘤
毛细血管瘤是婴幼儿最多见的良性肿瘤,可于出生时或出生后发生,1岁以内生长迅速,1岁后不再生长,部分可自行消退。毛细血管瘤好发于上睑外侧,表现为青紫色的软性包块,瘤体大时导致上睑下垂,影响患儿视觉发育。由于该肿瘤有明显的年龄倾向,并产生特征性眼睑改变,往往仅凭视诊即可诊断。毛细血管瘤也可单发于眶内,导致眼球突出,此时诊断依赖B超、CT或MRI。较小的毛细血管瘤不必积极治疗,虽婴儿发育可自行消退。肿瘤较大尤其上睑下垂遮盖瞳孔者应给予治疗,首选皮质类固醇瘤体内注射,可显著缩小肿瘤。药物疗效不佳者手术切除肿瘤。预后很好。

7.横纹肌肉瘤
横纹肌肉瘤是青少年最多见的眶内恶性肿瘤。该瘤恶性度高,生长极其迅速,往往1-2周就有明显改变。肿瘤导致眼球显著突出、眼睑充血肿胀、结膜高度水肿,类似于眶内急性炎症改变,必要时应做切除或细针穿刺活检。B超检查无特征性改变,CT则可明确肿瘤累及范围,以便制定手术方案。横纹肌肉瘤常须做眶内容剜除术,术后附以放化疗。该瘤预后不佳,往往复发甚至威胁患者生命。

8.视神经胶质瘤
降和视神经萎缩,眼球突出也是常见体征。胶质瘤生长受视神经脑膜约束,导致视神经管状增粗,如突破脑膜可呈偏心性生长。视神经胶质瘤向后发展,可经视神经管进入颅内,引起相应的中枢症状。B超发现视神经增粗,CT显示视神经管状增粗,内部常有囊性变,有视神经管开口扩大者应怀疑颅内蔓延,MRI或强化CT可明确显示肿瘤是否进入颅内。该瘤治疗应考虑肿瘤部位及患者视力情况,肿瘤局限于眶内、视力尚可的患者可随访观察,不必太积极治疗。如肿瘤已累及视神经管、患者视力下降明显,可考虑手术或γ刀治疗。

9.视神经脑膜瘤
视神经脑膜瘤是起源于视神经脑膜细胞的良性肿瘤,好发于中年女性。典型的脑膜瘤四联征为:视力丧失、眼球突出、继发性视神经萎缩和视神经睫状静脉。另外,眶内脑膜瘤还可来源于蝶骨嵴脑膜细胞或由颅内肿瘤蔓延所致。B超显示视神经增粗,CT可见视神经管状增粗,内部可见视神经低密度影,呈现特征性的“车轨状”或“套袖状”改变,肿瘤邻近视神经管处受阻膨大。MRI显示眶内肿瘤形态同CT,但对视神经管内、颅内蔓延的观察优于CT。治疗方式选择同视神经胶质瘤,但脑膜瘤切除很难完全,术后易复发。

10.视网膜母细胞瘤
视网膜母细胞瘤是儿童眼内最常见的恶性肿瘤,有一定遗传倾向。单眼发病占60%-80%,其余双眼发病,少数还可伴有颅内松果体瘤或蝶鞍区原发性神经母细胞瘤。视网膜母细胞瘤早期由于患儿不能主诉而常常漏诊,累及后极部时,家长发现瞳孔区“猫眼样反光”。肿瘤可导致视网膜脱离和继发性青光眼,患儿因疼痛哭闹不止。肿瘤还可突破巩膜壁进入眶内,导致眼球突出,甚至经血道转移全身。B超显示眼底肿物突入玻璃体腔,以及视网膜脱离。CT显示眼内高密度肿块,常有钙化。视网膜母细胞瘤应尽早手术,局限于眼内者做眼球摘除,侵入眶内者做眶内容物摘除,术后放化疗。该瘤预后不好,易复发。

11.脉络膜黑色素瘤
脉络膜黑色素瘤是成年人最常见的眼内恶性肿瘤,起源于葡萄膜色素细胞,多为单眼。肿瘤局限性或弥漫性生长,前者为突入玻璃体腔的不规则肿块,后者沿眼球壁生长,导致球壁增厚。肿瘤本身侵犯黄斑部或继发视网膜脱离,导致患者视力下降。继发性青光眼,或者瘤体坏死引起眼内炎,患者有剧烈疼痛。B超显示玻璃体腔内蘑菇形肿块,并发视网膜脱离。MRI对诊断脉黑有特异性,T1WI为高信号,T2WI低信号。眼内较小肿瘤、患者视力尚可时可局部切除肿瘤,瘤体较大应作眼球摘除,眶内受累时选择眶内容剜除,术后根据具体情况放化疗。预后差,易复发。

12.继发瘤和转移癌
除眶内原发肿瘤外,颅内、副鼻窦或颞窝肿瘤也可通过骨壁或骨性管道侵入眶内,如颅内脑膜瘤、副鼻窦粘液囊肿和鼻咽癌。单纯眼部治疗不能彻底清除肿瘤,应与神经外科或耳鼻喉科医生协同手术,力求切除完全。全身淋巴造血系统肿瘤如白血病、非霍奇金淋巴瘤常累及眶内。转移癌多为肺、乳腺、前列腺等实体肿瘤经血道侵入眶内。这部分眼眶肿瘤是全身病变的一部分,治疗应以全身化疗为主,附以局部手术。预后极差,即使积极治疗也难痊愈。

(二)血管畸形
1.静脉曲张
静脉曲张是原发于眶内的血管畸形,病变与体循环沟通,表现为显著的体位性眼球突出:患者低头、弯腰、咳嗽或憋气时眼球突出,伴有眶内压增高症状,如眶内胀痛、视力减退恶心、呕吐;直立位时由于眶脂肪萎缩眼球不同程度内陷。静脉曲张可发生导流血管栓塞,或眶内自发出血,患者剧烈疼痛、视力丧失。B超检查仰卧位可无发现,颈部加压后发现肿块。CT表现类同。静脉曲张如无疼痛和显著视力下降,应以观察为主。严重者手术切除,并栓塞导血管。

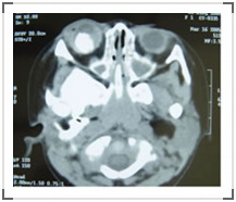
2.颈动脉-海绵窦瘘
颈动脉-海绵窦瘘是颈动脉与海绵窦间出现异常沟通,高压动脉血通过瘘口进入海绵窦,导致后者压力增高,影响眼部静脉血回流。根据病因可分为外伤性(高流瘘)和自发性(低流瘘)。患者常自述可闻及吹风样杂音,表现为眼球突出,眼睑及结膜肿胀,结膜血管螺旋状扩张、色鲜红,眼球运动受限,眶区听及血管杂音。B超显示眼上静脉扩张,多条眼外肌肥厚。CT除以上表现外,还可发现海绵窦增宽。治疗方法为经股动脉或眼上静脉插管,可脱球囊栓塞瘘口。自发性低流瘘不引起临床症状者可不予治疗。(如图,B超下可见扩张的眼上静脉)。

二、眼眶炎症
1.眶蜂窝组织炎和眼眶脓肿
蜂窝组织炎和脓肿是发生于眶内软组织或骨膜下的急性化脓性炎症,常因溶血性链球菌和金黄色葡萄球菌感染所致,感染途径来自副鼻窦化脓灶、泪囊炎、眼睑及颜面部的疖肿或全身脓毒血症。患者表现为发热、寒战、疼痛,眼球突出,眼球运动障碍,视乳头水肿、充血,晚期视乳头萎缩。眶内脓肿可自结膜或眶缘皮肤破溃。炎症通过静脉或眶上裂蔓延至海绵窦,形成脓毒性海绵窦栓塞,症状加重。CT显示眶内弥漫性高密度影,边界不清。治疗应给予足量抗生素,脓肿形成后切开引流。

2.眼眶非特异性炎症
眼眶非特异性炎症并非由细菌或病毒感染导致,而是一种免疫性炎症反应。因其形成肿瘤样包块,而镜下为慢性炎症改变,故名“炎性假瘤”。临床表现包括炎症红肿热痛和肿瘤占位效应。炎症类型多样,可单独累及眼外肌或泪腺,可形成局限性肿块,也可弥漫于眶内。CT表现为眼外肌肥厚、泪腺肿大、眶内不规则肿块或弥漫性高密度影。活动期炎症首选皮质类固醇治疗,可口服、局部注射或静脉滴注。放射治疗也有一定效果。药物不敏感者选择手术治疗,由于病变边界不清,很难切除完全。该病易复发,迁延不愈。(如图,泪腺炎)

三、眼眶爆裂性骨折
交通事故、工伤或眼眶受外力打击时,压力可经眶内软组织传递到眶壁薄弱处,导致这些部位骨质向眶外方破裂,称眼眶爆裂性骨折。眶内壁筛骨纸板和眶下壁眶下神经沟最易骨折。外伤早期表现为眼睑肿胀、淤血,眶内气肿和眼球突出。晚期由于骨折后眶腔扩大,或伴有眶内脂肪萎缩,眼球反而内陷。眶壁损伤同时常伴有邻近眼外肌损伤,眼外肌麻痹或嵌夹、粘连于骨折孔,导致复视和眼球不能向对侧转动。CT可清晰显示骨折范围,但更重要的意义在于观察眼外肌受损情况,因此软组织窗检查更为适用。眼球内陷程度和有无复视是决定是否手术的关键因素。眼球内陷2mm以上可明显影响外观,须手术矫正。单纯眼外肌麻痹引起的复视不须手术,应给予神经、肌肉营养药物;眼外肌嵌夹、粘连于骨折孔者必须手术,否则不能改善复视。手术应尽早施行,效果较好,晚期眼外肌与周围组织粘连广泛,给手术操作带来一定难度。
.jpg)
四、眼整形
眼位于机体颜面部,除视觉功能外,对于维护容貌的美观具有十分重要的作用。交通事故或其他意外伤害导致的眼部畸形时有发生,先天异常或眼眶术后所致外观畸形在眼科临床也较为常见。此外,由于生活水平的提高,人们审美需求日益迫切,单纯美容性手术也已司空见惯。
眼整形手术要求在保障视功能的基础上,尽量改善外观。相对于全身美容整形手术,眼整形要求更高的精密性,手术医生必须在熟练掌握解剖结构的基础上,灵活的设计手术方法,不拘泥于固定模式,以达到尽可能好的术后外观为宗旨。眼整形主要包括眼睑整形和眼眶整形,此外结膜囊缩窄、泪道系统畸形和泪腺脱垂也是常见的眼部畸形,均可通过手术矫正。
一、眼睑整形
眼睑位于眼眶表面,覆盖并保护眼球,是容貌美的重要组成。眼眶疾病导致眼睑畸形的类型很多,可以通过不同的手术方式加以矫正。介绍几种常见的眼睑畸形:
1.上睑下垂

上睑下垂是临床常见的眼睑畸形,由于动眼神经或提上睑肌功能异常所致,病因包括先天发育异常、外伤、手术损伤、重症肌无力等。上睑下垂患者上睑缘遮盖部分或全部瞳孔,为看清前方物体,须仰头或皱眉以增大视野范围,长久而形成一种特殊外观。儿童患者由于上睑遮盖瞳孔,影响视觉发育而形成弱视。

术前术后
2.眼睑缺损
眼睑缺损多由外伤或手术造成,少数为先天缺损。眼睑缺损导致角膜和结膜失去保护,导致结膜肥厚增生和暴露性角膜炎。眼睑缺损手术较复杂,应根据患者实际情况选择不同的眼睑替代物和手术方式,力求在恢复眼睑完整的基础上达到较好的美容目的。

3.眦角畸形
内、外眦韧带是维持正常眦角位置、形态的重要结构,由于外伤或手术可到致该韧带损伤,形成眦角畸形。内、外眦部位的皮肤瘢痕收缩,可导致眦角移位。这些改变均显著影响外观,须手术矫正。

4.眼睑回缩
眼睑回缩是甲状腺相关眼病的常见体征,轻者只影响外观,严重者导致眼睑闭合不全。对于内分泌功能和眼眶炎症稳定的患者,可以手术以矫正外观。

5.小睑裂综合征
.jpg)
术前术后
6. 隐眼综合征(照片先天性小眼球)

7.上睑下垂

8.眼睑肿瘤、外伤


9. 双重睑(双眼皮)

10.眼睑皮肤松弛

11. 眼袋

二、眼眶整形
眼眶是眼球和眼睑的支撑结构,对于维持正常的眼球突出度和眼睑外观具有重要意义。眼眶骨壁破坏或眶内容物增减会导致眼球位置改变,与对侧相比不对称,形成面部畸形。
1.眼球突出
眼球突出是眼眶病最为常见的临床体征。眼眶肿瘤引起的眼球突出,应摘除肿瘤以达到“治本”的目的。甲状腺相关眼病也可导致眼球突出,常为双侧,给患者外观和心理上带来极大痛苦,当出现暴露性角膜炎或视神经受压时,应积极给予手术治疗。然而对于尚无临床并发症,但存在显著外观畸形,患者要求改善外观者,也可手术矫正。手术方法为去除眶骨壁(眼眶减压术)或去除多余脂肪。

2.眼球内陷
眼眶爆裂性骨折或大面积软组织挫伤、脂肪萎缩会导致眼球内陷,眶肿瘤切除术后也可出现不同程度的眼球内陷,另外先天性小眼球者眼球也较对侧凹陷。轻度眼球内陷仅表现为眶睑沟加深,严重者眼球明显凹陷,影响外观。手术植入人工材料可以修复眶腔并补充眶腔内容物,使眼球向外突出,改善外观。

3.义眼
眼内肿瘤、眶内恶性病变等病变常在治疗中选择眼球摘除,患者不仅丧失了视觉功能,还造成眼窝凹陷,严重影响身心健康。植入羟基磷灰石义眼胎并附以合适的义眼片,不仅能恢复患者直视位外观,义眼还有较好的活动度。
4.眶腔重建
眶内恶性肿瘤治疗常选择眶内容剜除术,术后眼眶组织缺失,眼窝凹陷,外观严重畸形。可以通过颞肌转移、颞顶筋膜瓣移位或游离背阔肌皮瓣移植等方法重建眶腔,一定程度上可改善外观。(如图为眶内脂肪肉瘤眶内容剜除术后者)

5.眶缘骨畸形
眶缘是外力容易击打的部位,受伤后骨质断裂、移位,造成面部畸形。可以通过手术以钛钉固定眶骨,恢复解剖关系,改善外观。骨髓炎也可累及眶骨,好发于年幼时期,大多位于眼眶外下缘。临床上造成眶缘骨质缺损,表面凹凸不平,局部瘢痕明显。

6.先天性眶距增宽症
先天性眶距增宽症指两眼眶泪前脊间的距离增宽,多继发于各型颅面裂、皮样囊肿、颅缝早闭等。患者常有外斜视,有的还伴有小眼球、眉裂、内眦赘皮或其他部位的先天畸形,智力可有迟钝。手术可于4岁左右进行。
三、其他
眼部其他结构还包括结膜、泪腺和泪道,这些组织的病变也可导致眼部畸形,均须手术矫正。
照片新闻
更多>>视频新闻
更多>>-
- 视光中心
- 2017-08-09 10:21:42
-
- 医学验光,科学配镜—天津眼...
- 2015-10-23 16:07:13
-
- 第五届全国道德模范候选人-...
- 2015-07-24 15:59:20

津公网安备 12010102000008号