首页>>爱眼知识
翼状胬肉怎么治疗?
作 者:admin发布时间:2015-03-27 08:54:28
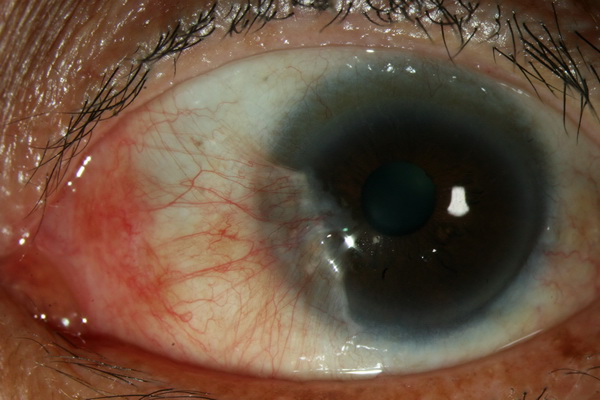
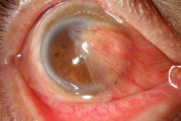
翼状胬肉俗称“鱼肉”,是眼科常见病和多发病,中医称“胬肉攀睛”。可以单眼发病,也可双眼同时发生。表现为白眼球鼻侧或颞侧粉红色或红色膜状物增生,并有部分“肉膜”爬到黑眼球上,早期黑眼球看起来不圆,进一步发展表现为黑眼球上有粉红色膜遮挡,容易出现眼干、异物感、发红,尤其洗澡、“上火”、喝酒等之后明显,严重者影响外观和视力。

翼状胬肉的发病与遗传、营养缺乏、泪液分泌不足、过敏反应等有一定关系,有的患者父母或兄弟姐妹同时发病,但大多数还是因外界刺激引起,如眼部长期受到风沙、烟尘、热、日光、花粉等过度剌激,所以多见于渔民、农民、海员、砂石工人等长期户外劳动者。

小而多年不发展的翼状胬肉无需治疗。可以尽量减少紫外线和风沙刺激,如佩戴墨镜,滴人工泪液等。偶尔发红时,可以少量用抗生素和激素滴眼液减轻炎症。如胬肉生长较快或已接近瞳孔区影响视力或眼球转动受限时则必须手术治疗。如胬肉生长较快或已接近瞳孔区影响视力或眼球转动受限时则必须手术治疗;如因翼状胬肉而长期眼红影响外观,也可以考虑手术治疗。

翼状胬肉的手术治疗要求应该达到3个主要目的:①应安全地将胬肉切除干净;②达到良好的光学效果;③避免复发。因此,在选择手术方法时要特别慎重。过去有很多翼状胬肉患者因为惧怕术后复发而延误了最佳手术时机,导致术后角膜残留白斑,视力不能恢复。
翼状胬肉单纯切除术及头部转位结膜下包埋术等,手术简单快速,痛苦小,时间短,但术后复发率达到70%以上,一些医生经常说手术后还会复发,指的就是这类手术。

目前天津市眼科医院角膜病科采取翼状胬肉切除联合带角膜缘组织的球结膜移植术,是目前国际上最新的治疗翼状胬肉的手术方法,适应于各种翼状胬肉及手术后复发的病例。手术效果非常好,复发率极低,在5%以下,术后眼部外观较好。但此手术方法操作相对较复杂,并有一定难度,对手术医师有较高的要求,对患者术中的配合也有相对高的要求,手术时间略长,术后早期略有异物感,术后1周需要拆线。但避免了术后复发需再次手术的风险。对于一些特殊及复发病例,我们会根据具体情况选择羊膜移植或异体干细胞移植术。
总之,翼状胬肉是一种需要手术的眼部疾病,术后可能复发,但只要选择正确的手术方式,复发的几率可以降到很低,术后外观基本可恢复正常,为了避免总让人误会为“红眼病”,翼状胬肉患者应积极采取手术治疗。
作者:刘艳霞 天津市眼科医院角膜科
转载请注明出处
照片新闻
更多>>视频新闻
更多>>-
- 视光中心
- 2017-08-09 10:21:42
-
- 医学验光,科学配镜—天津眼...
- 2015-10-23 16:07:13
-
- 第五届全国道德模范候选人-...
- 2015-07-24 15:59:20

津公网安备 12010102000008号