首页 >>医院讯息
我院设立“泪道疾病”门诊
作 者:admin发布时间:2015-10-13 14:10:40
当今,人们对生活质量的要求越来越高,因眼睛无故流泪甚至流脓来就诊的患者日益增多。出现这种异常流泪、流脓的症状主要与泪囊炎、鼻泪管阻塞、泪小管阻塞、泪小管炎等疾病有关,为满足患者的就诊需求,我院特开设“泪道疾病”门诊,为患者有针对性地制定治疗方案,门诊时间为周四上午、周五上午,就诊患者挂号“泪道疾病”即可。
“泪道疾病”特色门诊出诊医生为杨丽红副主任医师(医学博士),她在泪道疾病治疗方面有丰富的经验,在传统治疗基础上,又引进开展微创治疗泪道疾病,成功为患者摆脱了流泪、流脓的困扰。治愈后的患者重新恢复了自信、美丽,重新回归美好生活。
泪道阻塞性疾病的治疗方法主要包括:泪道激光、泪道置管、经皮肤切口泪囊鼻腔吻合术、经鼻内窥镜泪囊鼻腔吻合术,治疗方案的选择建议详见下表:
.gif)
泪道阻塞性疾病治疗方案(建议)选择一览表
.jpg)
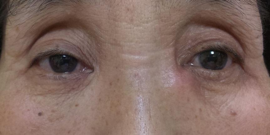
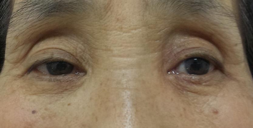
急性、复发性泪囊炎术前

急性、复发性泪囊炎术后

泪囊囊肿(右)术前

泪囊囊肿(右)术后

鼻内窥镜手术系统

术后鼻内镜吻合口图片


津公网安备 12010102000008号